Smile Makeovers - Before & After Photos

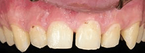
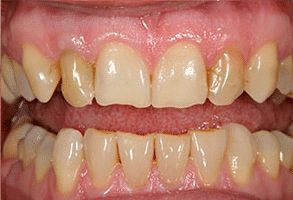
Before

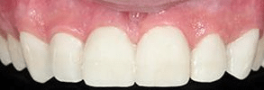
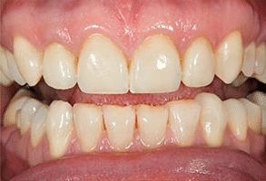
After

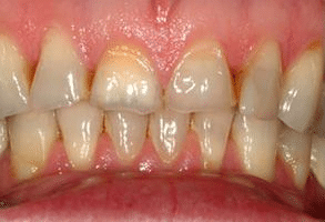
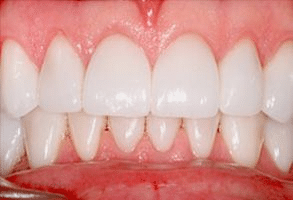
Before

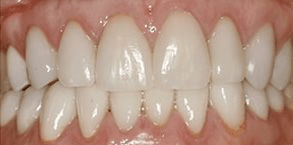
After

Before

After

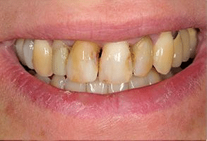
Before

After

Before

After

Before

After

Before

After

Before

After